FOTONA LASER SCAR REVISION

The minimally invasive nature of laser scar-revision treatments means that they are well tolerated by patients, and faster recovery times allow the psychological impact of scar revision treatments to be realized much sooner by patients.
Harnessing the Medical Power of Light
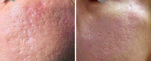
Lasers are ideally suited for the effective treatment of a wide range of scar tissues. Er:YAG skin resurfacing is used for gentle ablation of scar tissue and activation of collagen remodeling. Acne scars in particular respond well to Er:YAG treatments. For hypertrophic scars, clinical research conducted with the Nd:YAG wavelength show further improvement in the aesthetic appearance and overall tissue quality of a scar, including erythema, volume, pliability, etc.
A Synergistic Treatment Solution
With Fotona’s pioneering dual-wavelength scar-revision therapy, both nonablative Nd:YAG and fractional-ablative Er:YAG wavelengths are combined as part of a single comprehensive scar-treatment regimen, with immediate visible results that surpass that of traditional laser-based and conventional scar treatment techniques. Dual-wavelength scar treatment therapies provide a highly effective solution that not only addresses a scar’s aesthetic appearance but also helps to resolve complicating factors with the scar’s vascular feeding system.
FOTONA LASER SCAR REVISION
BEFORE AND AFTER GALLERY




